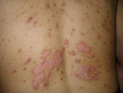
牛皮癣怎么回事?银屑病是一种治疗难度大的慢性皮肤病,不仅影响外部美观,也给身体造成了多种伤害。了解银屑病病因,才能使自己远离银屑病的困扰。那么,牛皮癣怎么回事?我们看看郑州银屑病研究所专家的介绍:

1、遗传因素:遗传因素是影响银屑病病因的一个重要因素.银屑病是一种多基因遗传病变,研究发现,银屑病具有一定的遗传几率。国外曾报告有家族史者占30%--50%,甚至出现过100%的遗传率。国内报道有家族史者为10%~20%左右,关于遗传方式,有人认为系常染色体显性遗传,伴有不完全外显率,亦有人认为系常染色体。医学上证明,遗传几率也可以减少,减少遗传几率需要注意两方面:第一、在病情稳定并且停药半年以上没有复发的情况下怀孕;第二、在夏季银屑病减轻的季节怀孕。如果两者都具备,能更有效降低银屑病的遗传率。
2、感染因素:研究发现,银屑病病因与上呼吸道感染和扁桃腺炎有关。临床上发现有6%的银屑病患者有咽部感染史。我们发现很多儿童的银屑病与扁桃腺炎有密切关系。摘除扁桃腺后,皮疹可有明显好转或消退。
3、代谢障碍:多数认为银屑病病因与酶代谢的改变有关。在正常人的表皮内有四种酶,而在银屑病患者的皮损内则缺少其中二种,皮损治愈后,其中两种酶又重新出现。已知银屑病的皮损内缺乏环磷腺甘(cAMP)这是一种表皮抑素(Epidermal chalone)可抑制表皮细胞分裂,保持细胞生长和消失之间的平衡。但值得提出的是有的学者认为在决定表皮细胞增殖和分化中,cAMP与cGMP的比例非常重要,银屑病患者表皮细胞的增殖,分化不全和糖原积蓄的原因是由于低cAMP和高cGMP,但未被完全证实。
4、免疫功能障碍:免疫学研究证实,银屑病患者体液免疫紊乱,患者血中T抑制细胞明显下降,T辅助细胞升高,细胞免疫功能偏低,淋巴细胞转化率和自然花瓣形成率降低,皮肤迟发性超敏反应试验减弱,另据报道,在银屑病皮损部位的浸润细胞中主要为T细胞,这些细胞表面HLA-DR及LL-2受体表达,可分泌一些细胞因子,受这些因子作用,可引发皮损区角朊细胞发生一系列代谢异常,引起银屑病皮损发生。
牛皮癣怎么回事?通过上面的介绍,相信大家都明白了。银屑病患者不要过于担心,保持积极的心态,并注意养成良好的生活习惯,做好银屑病的预防工作,一定可以远离银屑病的困扰。如果还有什么疑问,可以咨询我们的在线专家
手机版网址:牛皮癣怎么回事