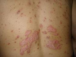
脓疱型型银屑病的危害?牛皮癣是我们生活中常见的皮肤病,牛皮癣很难治愈,而且牛皮癣病因复杂,种类很多。其中比较严重的就是脓包型牛皮癣,如不及时治疗,对患者的伤害很大。那么,脓疱型型银屑病的危害?我们看看郑州市银屑病研究所专家的介绍:

脓疱型银屑病的危害的主因活性氧,是肌体代谢的有害产物,渗杂在血液细胞间质中,导致肌体内环境受到污染。脓疱型银屑病的危害表现为情志内伤,气机壅滞,郁久化火,毒热伏于营血。
脓疱型银屑病的危害性非常的大,银屑病本身就给患者的生活和心理造成了一定的伤害,为了避免受到脓疱型银屑病的危害,应加强脓疱型银屑病的预防措施。
对于脓疱型银屑病的治疗,有内治和外敷两种方法。药膏外敷是指药膏不经胃肠破坏,直接作用于皮肤,并通过透皮肤吸收进入血液,故较之内服药见疗效快。
脓疱型型银屑病的危害?相信大家都已经有所了解了。脓包型牛皮癣一般由其他类型的牛皮癣病变而来,对患者的杀伤力很强。如果发现有以上的症状出现时一定要及时的去医院进行治疗,以防治此病进一步的发展。如果您还有什么疑问,可以咨询我们的在线专家
手机版网址:脓疱型型银屑病的危害